
Cirugía inédita en Catamarca: extraen aguja de pulmón a joven de Tinogasta
TELEDIARIO.ar
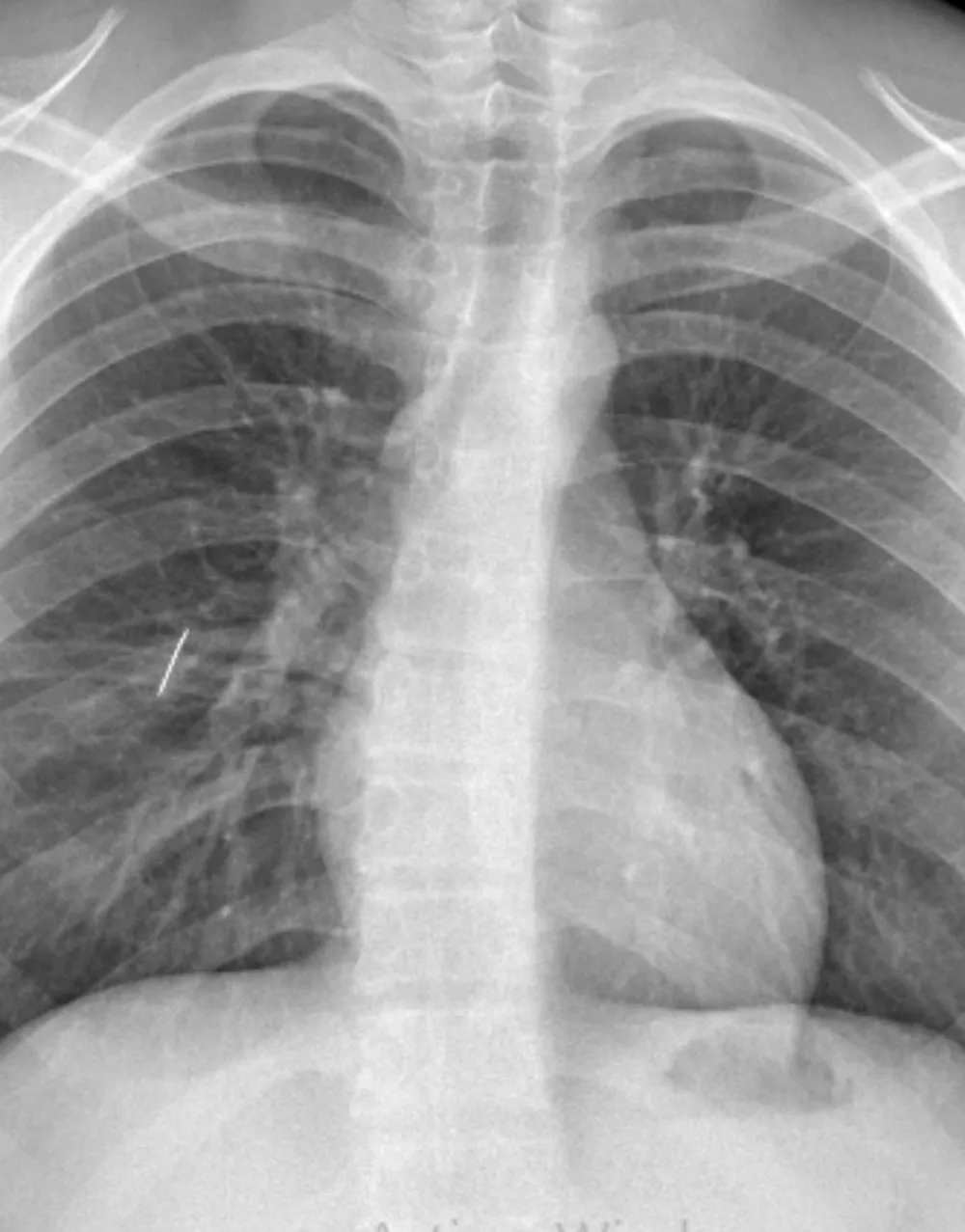
El paciente había ingresado por guardia tras sufrir un accidente doméstico que le provocó un trauma penetrante de tórax.
Tras recibir una primera atención en su localidad, el adolescente fue derivado al hospital capitalino, donde se confirmó la presencia del objeto metálico en el pulmón. El equipo de Emergencias realizó un drenaje torácico inicial, pero al no lograr la expansión pulmonar debido al cuerpo extraño, se decidió avanzar con una intervención quirúrgica de alta complejidad.
La operación, que se extendió por una hora y media, estuvo a cargo del Dr. Fernando Lestussi junto al equipo de Cirugía General. Por la ubicación del objeto y las características del caso, se optó por una cirugía abierta, considerada de mayor riesgo, aunque la juventud y buen estado de salud del paciente favorecieron una evolución sin complicaciones.
El Servicio de Anestesiología cumplió un rol clave mediante la técnica de intubación selectiva con fibrobroncoscopio, que permitió ventilar un solo pulmón y trabajar directamente sobre el órgano afectado, reduciendo riesgos y mejorando la visibilidad durante la extracción.
Los profesionales destacaron que este tipo de casos no admite derivación, ya que el traslado por vía terrestre o aérea hubiese implicado un altísimo riesgo de vida. “Era un trauma penetrante de tórax con una aguja de coser incrustada en el pulmón. La resolución debía hacerse aquí y con satisfacción podemos decir que fue realizada por nuestro equipo”, explicó el Dr. Lestussi.
Actualmente, el joven se encuentra en buen estado de salud, con evolución favorable y proyección de alta en los próximos días. La intervención puso en valor la capacidad del sistema público provincial para resolver situaciones críticas, gracias a la articulación entre el hospital de origen, el servicio de emergencias y los equipos quirúrgicos especializados.
El equipo que llevó adelante la operación estuvo integrado por los Dres. Fernando Lestussi y Héctor Leiva (Cirugía General), la Dra. Daniela Cruz (Anestesiología), y el personal del Quirófano Central: Carlos Cardozo (instrumentador) y Nicolás Marcial (circulante).



La comunidad tinogasteña honró a los héroes de la Guerra de Malvinas con un homenaje institucional y cultural

El régimen libertario de ultraderecha de Milei busca contener tensiones en homenaje por Malvinas

El régimen libertario y cipayo de Milei impidió que los Veteranos de la Guerra de Malvinas participaran en el acto oficial

Milei reconoció una "deuda salarial" con los militares y adelantó cambios en obra social

Corrupción del régimen libertario de Javier Milei: un sondeo muestra qué siete de cada diez personas quieren que Adorni renuncie


